Mengapa Gigiku Bisa Goyang?

Gigi goyang bisa disebabkan oleh berbagai macam hal yaitu:

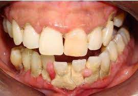
  •  Adanya karang gigi yang terlalu banyakkarang gigi

Karang gigi berasal dari sisa – sisa makanan yang tidak di bersihkan dan pH rongga mulut yang asam yang berisi berbagai macam bakteri yang dapat membuat gusi dan tulang pada rahang gigi kita menjadi turun. Gusi dan tulang yang menurun lama kelamaan akan membuat gigi kita menjadi goyang karena kekurangan penyangga

 

  • Adanya penyakit bawaan seperti Diabetes Melitus

Diabetes dapat menyerang jaringan penyangga gigi. Diawali dengan adanya penumpukan plak gigi. Pada penderita diabetes, kemampuan jaringan penyangga gigi untuk melawan kuman yang menumpuk pada plak gigi mengalami penurunan. Alhasil, jaringan penyangga gigi mudah terinfeksi dan rusak.

Di saat infeksi sudah benar-benar sudah terjadi, abses atau pembengkakan tidak bisa dihindari lagi. Ini adalah kondisi di mana jaringan penyangga gigi mengeluarkan nanah.Selanjutnya, jaringan yang terinfeksi tersebut akan mengalami pengikisan tulang penyangga dengan cepat dan banyak. Jika kelamaan dibiarkan akan menyebabkan goyang dan akhirnya tanggal.

  • Terkena benturan keras disekitar wajah dan mulut sehingga gigi tersebut goyang

Adanya benturan atau tekanan yang keras secara tiba – tiba dapat menyebabkan gigi lepas dari jaringan penyangganya dan membuat gigi tersebut goyang.

  • Kebiakebiasaan menggertakkan gigisaan menggertakan gigi pada saat tidur malam hari atau kebiasaan menggigit bolpoint atau benda keras juga dapat membuat gigi menjadi goyang

Hal ini disebabkan oleh karena menggertakkan gigi pada saat malam hari atau kebiasaan buruk seperti menggigit bolpoint atau benda keras terus menerus dapat memberikan tekanan yang berlebih pada jaringan penyangga gigi sehingga lama kelamaan dapat rusak dan gigi menjadi goyang.

Jadi tunggu apalagi? Segera cek gigi mu sebelum terlambat dan menjadi goyang. Nah, sudah tahu kan penyebab penyebab gigi kamu goyang? Sayang sekali jika sudah tahu penyebab nya tetapi tetap tidak perduli.

Karena gigi yang goyang, kecil kemungkinan untuk bisa di perbaiki seperti gigi lubang. Separah apapun lubangnya selama akar gigi nya tidak patah, sisa gigi masih sebatas gusi, masih bisa di perbaiki.

Baca Juga: Mengatasi Gigi Goyang Agar Kuat kembali. Bisakah?

 

Untuk Anda yang berada di  Surabaya, ada klinik gigi Surabaya yang rekomended banget, yakni Shiny Smile Dental Clinic. Didukung dengan tim dokter gigi spesialis yang berpengalaman dan kompeten untuk melakukan berbagai kasus-kasus spesialisasi. Dan di dukung dengan tempat yang nyaman dan bersih, Shiny Smile Dental Clinic bisa menjadi  klinik gigi terdekat Anda untuk melakukan berbagai perawatan restorasi dan kosmetik gigi.

Fokus utama tim Shiny Smile sebagai salah satu klinik gigi Surabaya adalah kosmetik gigi. Kedokteran kosmetik gigi tidak hanya akan memberikan kamu kesehatan gigi dan senyum yang baru, tetapi juga  akan mengubah hidup kamu untuk selamanya. Jadi tunggu apa lagi, segera kunjungi Shiny Smile Dental Clinic di Jl. Wisma Permai Barat I No. 33 (blok LL-24), Surabaya 60115.  Anda bisa menghubungi kami untuk bertanya tanya via  Whatsapp di 08 223 227 3737  

 

Referensi:

Loose tooth: Treatments, causes, and prevention

Loose Tooth: Pain, Adults, and Treatment

The Many Causes Of Loose Teeth